Pannello di controllo
Messaggi

1/23
Studio dentistico Gattuso
Studio dentistico Gattuso
28 anni di attività

Dentista
 : 
Studio dentistico Gattuso

28 anni di attività


Prezzi

Contatta questo professionista per parlargli del tuo progetto e per concordare il prezzo.

Informazioni su Studio dentistico Gattuso
Dimensioni del team: 8 persone
Esperienza professionale
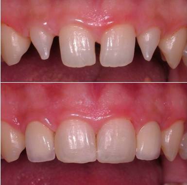
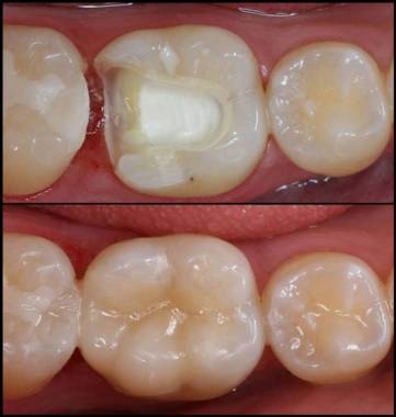
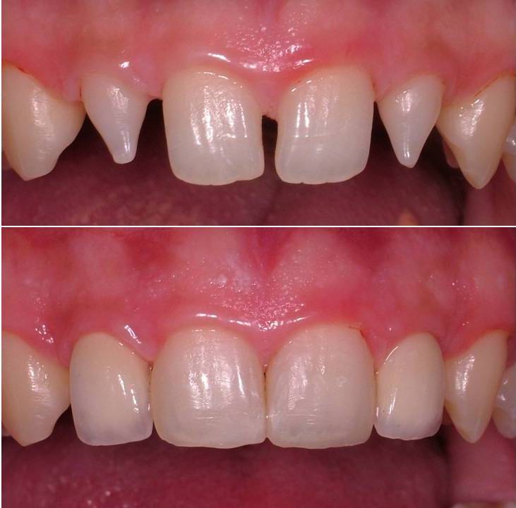
Una raffinata miscela di tecnologia avanzata, materiali di prima qualità, esperienza ventennale e collaborazione interdisciplinare permette di offrire servizi superiori a tutti i nostri pazienti. Ti ospeteremo in un ambiente elegante, pulito e confortevole con free Wifi e tv in sala d'attesa. Avvalendoci di tecniche avanzate e strumentazioni all’avanguardia come TC Volumetrica Cone Beam,Telecamera Digitale Intraorale,Chirurgia Piezoelettrica,Rilevatore della Radice Apicale,Micromotore Endodontico a controllo di Torque... LE NOSTRE PAROLE D'ORDINE SONO: - IGIENE E STERILITÀ…CON NOI SEI AL SICURO! - ASSENZA DI BARRIERE ARCHITETTONICHE - DISPONIBILITÀ IN CASO DI EMERGENZE - AGGIORNAMENTO CONTINUO al fine di adoperare TECNOLOGIE SEMPRE ALL’AVANGUARDIA - ODONTOIATRIA PEDIATRICA… …per noi il sorriso dei tuoi figli è una cosa seria! - COPERTURA A 360° il Dott. Gattuso, ha creato un Team fortemente motivato grazie al quale si può offrire al paziente un servizio odontoiatrico COMPLETO in tutte le branche dell’odontoiatria affinché possa sentirsi sempre assistito e seguito nel migliore dei modi. Inoltre abbiamo aperto le porte anche alla MEDICINA ESTETICA grazie alla collaborazione con il Dott. Gianfranco Petrolo (http://chirurgiaesteticapetrolo.com/), Alla CHIRURGIA MAXILLO-FACCIALE grazie alla collaborazione con il Dott. Davide Caruso ed alla GNATOLOGIA grazie alla collaborazione con il Dott. Attilio Molino (http://*information hidden*/), oltre a quella, ormai consolidata, con la Dott.ssa Maria Teresa Larosa per l'ORTODONZIA. - OTTIMO RAPPORTO QUALITA' PREZZO La filosofia che ci ispira è che il denaro non debba mai costituire un impedimento a denti sani e belli. Ecco perché garantiamo alta qualità a prezzi equi. Inoltre cerchiamo di stabilire con il paziente dei piani di pagamento personalizzati ed abbiamo stipulato accordi vantaggiosi con le principali agenzie di finanziamento. Visita nostra pagina Facebook: https://*information hidden*/StudioDentisticoGattuso/ e il nostro sito internet: http://studiodentisticogattuso.it/

Foto e video


Recensioni

0.0Nessuna recensione

Recensioni

0.0Nessuna recensione
0.0
Appena iscritto a StarOfService
  • 5
    5 stelle
    0%
    0
  • 4
    4 stelle
    0%
    0
  • 3
    3 stelle
    0%
    0
  • 2
    2 stelle
    0%
    0
  • 1
    1 stella
    0%
    0

Ubicazione

Vibo Valentia, Vibo Valentia (89900)

Importante da sapere

  • Giorni feriali  00:00 - 24:00
  • Sa  00:00 - 24:00
  • Dom  00:00 - 24:00
Orario di apertura
Giorni feriali  00:00 - 24:00
Sa  00:00 - 24:00
Dom  00:00 - 24:00
  • Italiano
ParlaItaliano
Orario di apertura
  • Giorni feriali  00:00 - 24:00
  • Sa  00:00 - 24:00
  • Dom  00:00 - 24:00
Orario di apertura
Giorni feriali  00:00 - 24:00
Sa  00:00 - 24:00
Dom  00:00 - 24:00
Parla
  • Italiano
ParlaItaliano


Hai delle domande per Studio dentistico Gattuso?Spiega i tuoi obiettivi e le tue esigenze, oppure chiedi le informazioni che ti servono per prendere una decisione.
Per proteggere i tuoi pagamenti, non trasferire mai denaro e non comunicare al di fuori di StarOfService.